近日,一知名教育博主因心源性猝死离世的消息令人惋惜,也为大众敲响了警钟。年仅41岁的他长期高强度工作、频繁剧烈运动,却没能躲过突发心脏事件。这一悲剧再次提醒我们:猝死并非老年人专属,隐匿的冠心病等心脏问题,正悄悄威胁着中青年人群的健康。
作为医学影像科常用的心脏血管筛查手段,冠脉CTA+AI筛查可以及早发现这些“隐形隐患”,为心脏健康保驾护航。

一、心源性猝死,离中青年并不远
心源性猝死最常见的原因是急性心肌梗死与恶性心律失常。我国每年心源性猝死人数超过53万,中青年群体比例逐年上升。很多人误以为“没有不舒服就是健康”,但绝大多数猝死患者发病前都有预警信号,如胸闷、心悸、活动后气短、乏力、胸痛等。这些症状往往被忽视,最终酿成无法挽回的后果,其背后多是未被发现的冠状动脉粥样硬化,也就是冠心病。

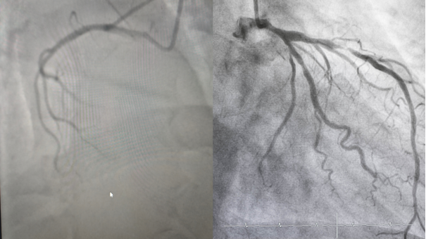
二、冠脉CTA:心脏血管的无创高清筛查
河南省中西医结合医院医学影像科团队介绍,冠脉CTA全称冠状动脉CT血管造影,是一种无创、快捷的心脏血管检查。通过静脉注射对比剂,经CT扫描及三维重建,可清晰显示心脏血管的立体图像。整个检查仅需10—15分钟,门诊即可完成,无需住院、无需插管,安全便捷。

冠脉CTA检查主要作用:判断冠状动脉有无狭窄及狭窄程度;识别斑块性质,区分相对稳定的钙化斑块与易破裂的高危软斑块;排查冠脉先天畸形;评估支架或搭桥术后血管通畅情况。
以下人群建议尽早筛查:出现不明原因胸闷、胸痛、心悸、活动后气短者;高血压、糖尿病、高血脂、长期吸烟、肥胖、缺乏运动及有早发冠心病家族史者;心电图异常、不明原因晕厥或术前需评估冠脉情况者。
对碘对比剂过敏、严重肾功能不全、甲亢未控制、妊娠期及生命体征不稳定者不适合此项检查。心率过快、无法配合屏气者可能影响图像质量,需提前调整。
三、冠脉CTA与冠脉造影,如何选择?
冠脉CTA属于无创筛查,适合中低危人群初步排查,费用较低,结果正常基本可排除冠心病。

冠脉造影属于有创检查,是诊断冠心病的“金标准”,可同时进行支架治疗,适合症状典型、高度怀疑严重血管病变者。

简单原则:无症状或症状不典型,先做冠脉CTA;症状典型、疑似心梗,直接做冠脉造影。
四、检查注意事项与报告解读
检查前4小时禁食禁水,去除金属物品,心率过快者需遵医嘱用药。检查时听从指令屏气即可,注射对比剂后出现短暂发热、口苦属于正常反应。
冠脉CTA报告重点关注两项内容:一是血管狭窄程度,≤25%轻微狭窄,26%-50%为轻度狭窄,51%-75%为中度狭窄,76%-99%为重度狭窄。100%为完全闭塞。二是斑块性质,软斑块、混合斑块风险远高于钙化斑块,需尽早干预。同时可参考报告中的CAD-RADS分级,1-2级为基本正常,3级需定期随访,4-5级提示病变严重,需进一步诊疗。

五、守护心脏,早筛查更要早预防
张雪峰老师的悲剧告诉我们,“年轻”不等于“心脏安全”。长期熬夜、过度劳累、突然高强度运动,都会显著增加心脏风险。日常生活中应控制血压、血糖、血脂,戒烟限酒、规律作息、坚持适度运动,避免突然剧烈运动。40岁以上人群建议每年进行心脏相关体检,高危人群可定期进行冠脉CTA筛查。
身体发出的每一次不适都值得重视,胸闷、心悸、乏力等症状切勿硬扛。冠脉CTA作为安全、无创的筛查手段,能及早发现血管隐患,为救治赢得时间。重视心脏健康,早筛查、早干预,才能真正远离心源性猝死的威胁。
(供稿:陈学力、燕瑞兵 审核:赵莉)